身近な動物病院として
できる外科治療
手術が必要と診断されたとき、飼い主さまは治療内容だけでなく、費用や通院の負担についても大きな不安を感じられることと思います。
当院は専門病院ではありませんが、整形外科分野を中心に多くの手術経験を積み重ねてきました。
一次医療機関としての身近さを大切にしながらも、専門性の高い外科手術を安全に行える体制を整えています。
また、質や安全性を犠牲にすることなく、
飼い主さまが過度な負担を抱えない適正な費用で治療をご案内することを大切にしています。
「費用の面で治療を迷っている」「専門病院での手術に不安がある」
そんなときに、まず相談できる存在でありたい。
それが当院の手術に対する基本的な考え方です。
当院の手術の強み
⚫︎豊富な手術経験にもとづく、
確かな判断と手技
当院では整形外科を中心に、神経外科・一般外科・眼科外科など、
幅広い分野の手術に長年携わってきました。
椎間板ヘルニアや膝蓋骨脱臼など、症例数を多く経験してきた疾患については、
これまでの知見を生かし、個々の状態に応じた適切な術式を選択しています。
数多くの症例に向き合ってきた経験が、手術の安全性と再現性を支えています。
⚫︎症例に合わせた治療選択と、
手術の質を支える設備
手術では「どの方法がその子にとって最適か」を最優先に考えています。
整形外科手術では、症例ごとの骨格や体格に応じて、複数メーカーのインプラントの中から適切なものを選択しています。
また、ソノキュア超音波手術機を導入し、肝臓手術や癒着の強い症例など、繊細な操作が求められる場面でも安全性を確保するため、堅実に設備を導入しています。
⚫︎専門性の高い手術を、
身近で誠実な医療として提供
当院は専門病院ではありませんが、
一次医療機関としての身近さを大切にしながら、
専門性の高い外科治療に対応してきました。
質や安全性を犠牲にすることなく、
飼い主さまが過度な負担を抱えない費用設定を心がけ、
治療内容や費用についても事前に丁寧なご説明を行っています。
「まずは相談してみたい」
そう思っていただける外科医療を目指しています。
手術実績・主な対応手術の一覧
当院では整形外科を中心に、神経外科・一般外科・眼科外科など、幅広い分野の外科手術に対応しています。
以下は、当院で対応している主な手術の一例です。
| 神経外科 |
|---|
| 椎間板ヘルニア(ヘミラミネクトミー) |
| 頚部椎間板ヘルニア(ベントラルスロット) |
| 椎体固定術 |
| 一般外科 |
|---|
| 甲状腺摘出術 |
| 肺葉摘出術 |
| 胸腺腫摘出術 |
| 肝葉切除術 |
| 胆嚢切除術 |
| 胃捻転整復固定術 |
| 胃腸切開・吻合術 |
| 脾臓摘出術 |
| 副腎摘出術 |
| 腎臓摘出術 |
| 尿管・尿道断裂整復術 |
| 膀胱切開術 |
| 精巣腫瘍摘出術 |
| 潜在精巣摘出術 |
| 乳腺腫瘤摘出術 |
| 子宮蓄膿症手術 |
| 帝王切開 |
| 肛門周囲腫瘤切除術 |
| 肛門嚢摘出術 |
| 全耳道切開術(TECA/LBO) |
| 耳血腫整復術 |
| 声帯切除術 |
| 外鼻孔・軟口蓋切除術 |
| 唾液腺瘤摘出術 |
| 断尾術 |
| 抜爪術 |
| 体表腫瘤切除術 |
| 皮膚移植・皮弁形成術 |
| 大腿動脈血栓摘出術 |
| 臍ヘルニア整復術 |
| 鼠径ヘルニア整復術 |
| 会陰ヘルニア整復術 |
| 横隔膜ヘルニア整復術 |
| 整形外科 |
|---|
| 創外固定法 |
| 上腕骨骨折整復術 |
| 橈骨骨折整復術(ダブルプレート法) |
| 骨盤骨折整復術 |
| 大腿骨骨折整復術 |
| 脛骨骨折整復術 |
| 指骨骨折整復術 |
| 下顎骨骨折整復術 |
| 大腿骨頭切除術(FHNO) |
| 股関節脱臼整復術(観血的・非観血的) |
| 肩関節脱臼整復術 |
| 肘関節脱臼整復術 |
| 手根・足根関節脱臼整復術 |
| 膝蓋骨脱臼整復術 |
| 前十字靱帯断裂手術(TPLO) |
| 骨移植術 |
| 口腔外科 |
|---|
| 口腔内腫瘍摘出術 |
| (猫)全臼歯抜歯術 |
| 抜歯術 |
| 歯石除去(超音波スケーリング・ポリッシング) |
| 眼科外科 |
|---|
| 眼瞼腫瘤切除術 |
| 眼瞼形成術 |
| 眼球全摘出術 |
| 眼球内シリコンインプラント挿入術 |
| 点状角膜切開術・格子状角膜切開術 |
| 瞬膜腺脱出整復術(チェリーアイ) |
| 犬猫用コンタクトレンズ挿入・設置術 |
| 内視鏡下手術・処置 |
|---|
| 内視鏡下食道内異物除去 |
| 胃内異物摘出術 |
| 内視鏡下生検(胃・十二指腸・結腸) |
| 胃洗浄術 |
| チューブ設置術 |
| 食道チューブ設置術 |
※症例の状態や全身状態により、適応や治療方針が異なる場合があります。
詳細は診察時にご説明いたします。
特に専門性の高い手術
前十字靱帯断裂に対する
TPLO手術
前十字靱帯断裂は、犬に多くみられる膝関節疾患で、適切な手術と術後管理が、歩行機能の回復に大きく影響します。
当院では、前十字靱帯断裂に対する治療として、TPLO(脛骨高平部水平化骨切り術)を数多く実施してきました。
関節鏡は使用していませんが、直接視野下で関節内の状態を丁寧に確認し、症例ごとに必要な処置を確実に行うことを重視しています。
使用するインプラントは、シンセス社・VOI社・FIXN社の製品を採用し、それぞれの症例の脛骨形状や体格に応じて適切なものを選択しています。
特に小型犬の症例にも多く対応しており、安定性と安全性を重視した手術を行っています。
これまでに積み重ねてきた豊富な症例経験をもとに、術後の生活まで見据えたTPLO手術を提供しています。
胆嚢摘出術
胆嚢疾患は進行すると全身状態に大きな影響を及ぼすため、適切なタイミングでの外科治療が重要となります。
当院では、胆嚢疾患に対する外科治療として胆嚢摘出術を行っています。
腹腔鏡手術は実施しておりませんが、開腹下で十分な視野を確保し、安全性を最優先にした手術を行っています。
また、癒着が強い症例や肝臓に近接する部位の操作においては、ソノキュア超音波手術機を使用し、周囲組織への影響や出血を抑えた手術を心がけています。
症例ごとの状態を慎重に評価し、術前検査から術後管理まで一貫した体制で対応しています。
椎間板ヘルニア(グレードV)
に対する外科治療
椎間板ヘルニアの中でも、グレードVは重度の神経障害を伴い、迅速かつ適切な外科治療が求められる状態です。
当院では、椎間板ヘルニアの中でもグレードVの重症例に対する外科治療にも対応してきました。
これまでに200症例以上の椎間板ヘルニア手術を行ってきた経験をもとに、症例ごとの状態を慎重に評価し、適切な術式を選択しています。
ヘミラミネクトミーやベントラルスロット法など、症例に応じた手術方法を選択し、神経への負担を最小限に抑えることを重視しています。
術後の回復や生活の質を見据え、術前から術後管理まで一貫した体制で対応しています。
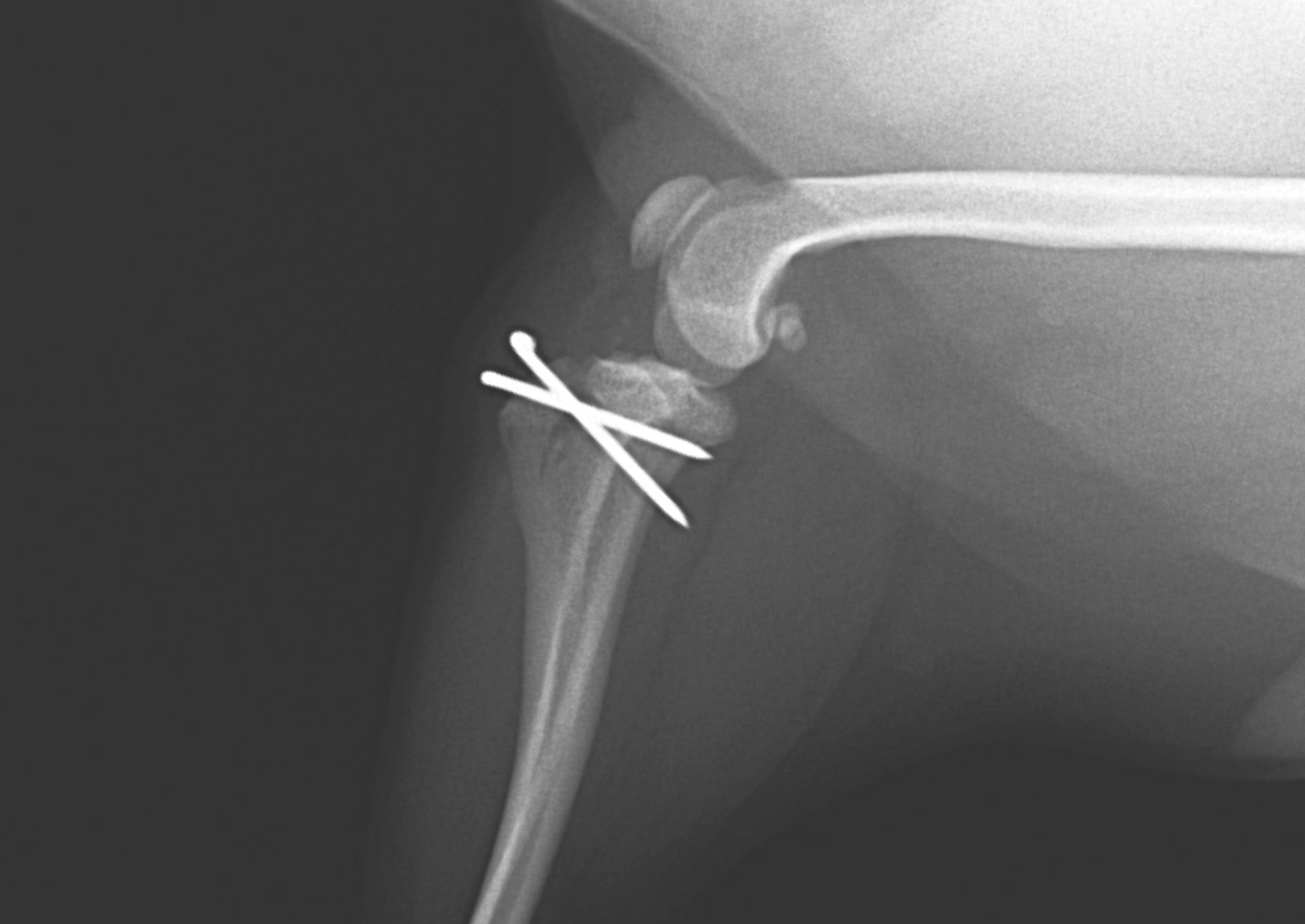
膝蓋骨脱臼の外科治療
膝蓋骨脱臼は小型犬に多くみられる疾患で、症状の程度に応じた適切な外科治療が重要となります。
当院では、膝蓋骨脱臼に対する外科治療を数多く行ってきました。
これまでに200症例以上の手術実績があり、重症度や骨格の状態に応じて、適切な術式を選択しています。
特に小型犬の症例にも多く対応しており、術後の安定性や再発防止を見据えた手術を心がけています。
歩行機能の回復と、その後の生活の質を大切にした治療を行っています。
お電話での
お問い合わせ
| 診療時間 | 月 | 火 | 水 | 木 | 金 | 土 | 日 | 祝 |
|---|---|---|---|---|---|---|---|---|
| 9:00~12:00 | ● | ● | ● | / | ● | ● | ● | / |
| 15:00~18:00 | ● | ● | ● | / | ● | ● | ● | / |